ふかつ歯科・矯正歯科 ご予約・ご相談・お問い合わせはお電話084-982-5111 ふかつ歯科・矯正歯科のインスタグラム

MENU

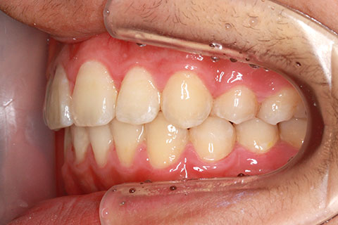
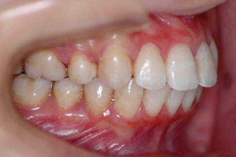
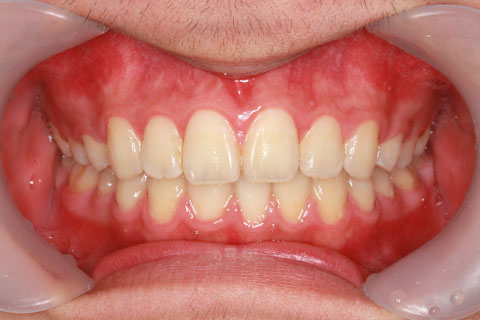
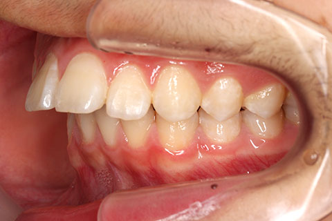
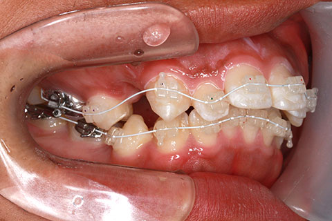
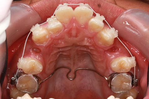
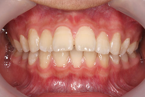
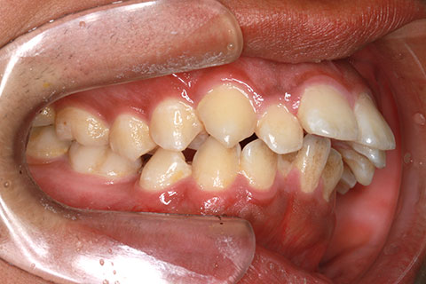
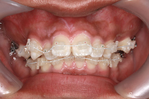
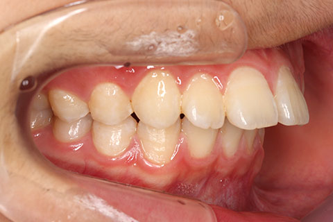
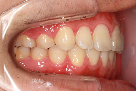
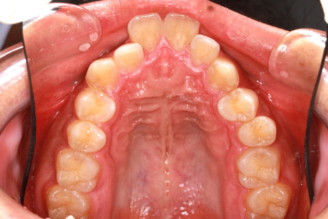
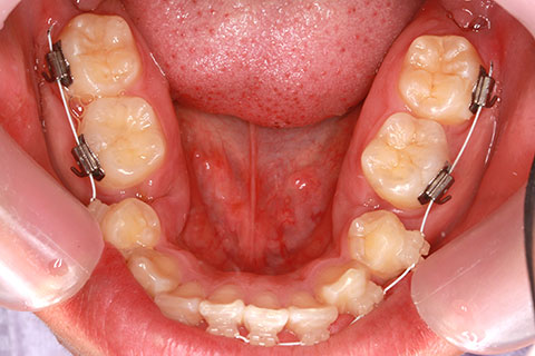
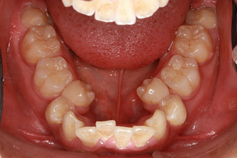
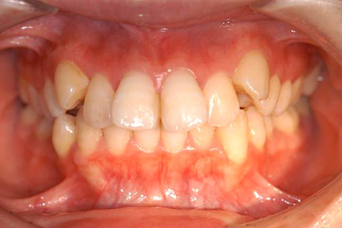
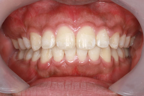
矯正の症例 出っ歯

HOME 矯正の症例 出っ歯

出っ歯とは

出っ歯の症状

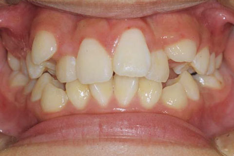
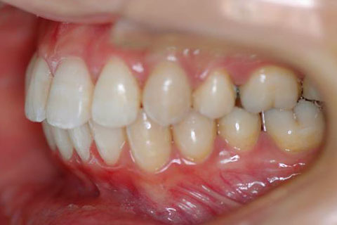
出っ歯は「上顎前突」と言います。上の歯が出ている咬み合わせの状態のため、口元が出てしまい、口が閉じづらいため歯が乾きやすく虫歯や歯周病のリスクが高くなります。また、咬み合う際、奥歯への負担が大きくなります。お子様場合は将来的に、正常な下顎の成長を阻害する可能性があります。

乱ぐい歯の原因

遺伝的なもの(顎の骨格や歯の形態の出っ歯)、成長期における指しゃぶり、舌のくせ、口呼吸などが挙げられます。

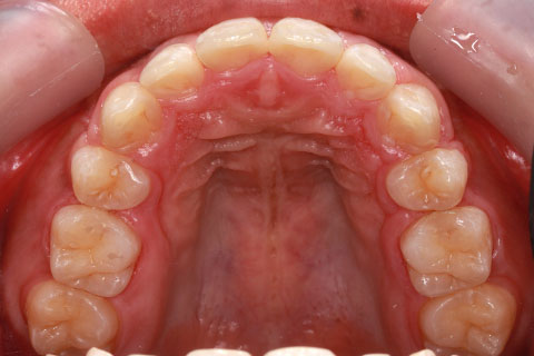
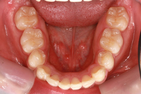
出っ歯の症例

症例一覧