MENU
矯正・インプラント無料相談
診療予約 084-982-5111
【診療時間】月曜~土曜 9:00-12:30/14:30-19:00※土曜午後13:30-17:00
【休診日】隔週木曜・日曜・祝日
HOME 矯正の症例 過蓋咬合
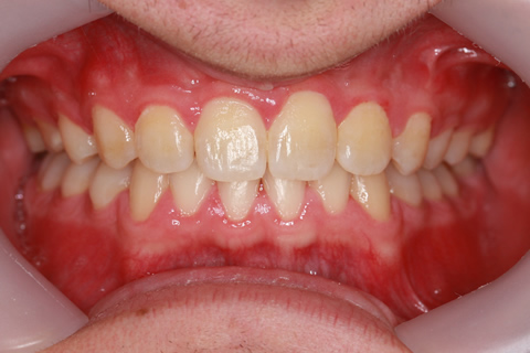
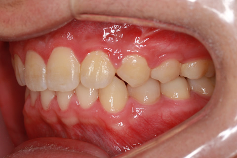
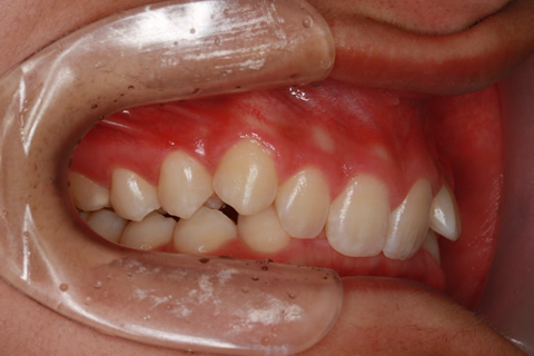
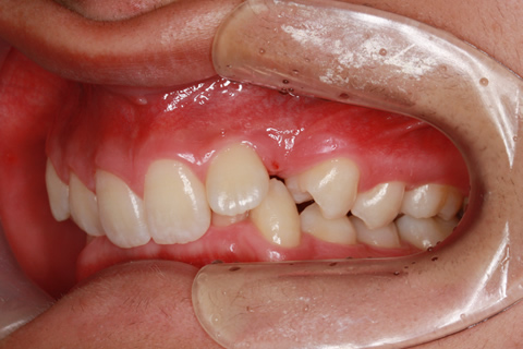
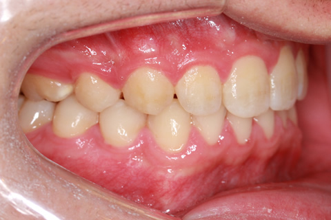
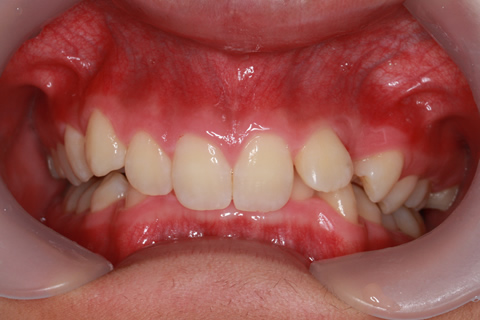
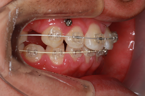
過蓋咬合(かがいこうごう)とは、上の鳩下の歯の重なりが深い状態の歯並びのことです。写真のように、下の歯が見えないほど深く咬み込んでいる状態です。深く咬み込んだ歯が歯肉を傷つけたり、歯と歯が接触している部分に噛む力が多くかかり、歯が摩耗しやすいです。
治療前
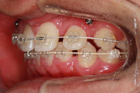
治療中
治療後