ふかつ歯科・矯正歯科 ご予約・ご相談・お問い合わせはお電話084-982-5111 ふかつ歯科・矯正歯科のインスタグラム

MENU

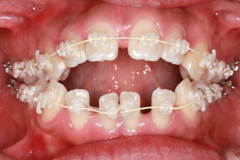
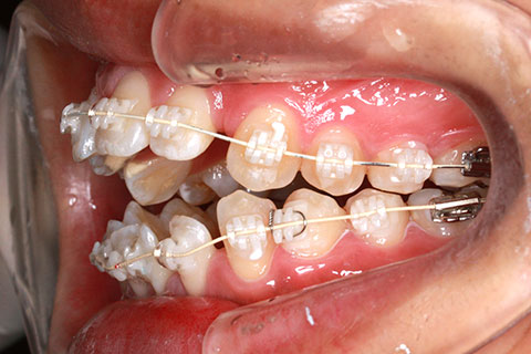
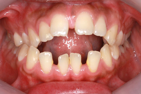
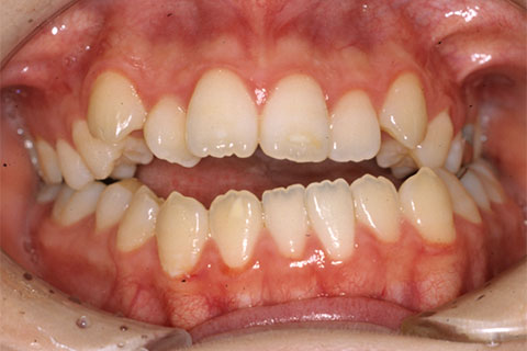
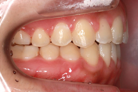
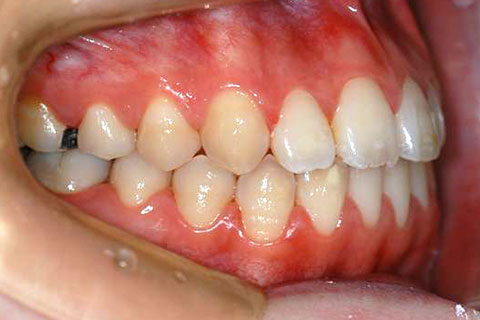
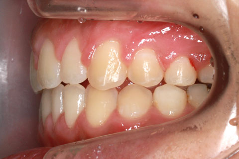
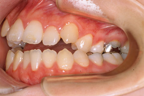
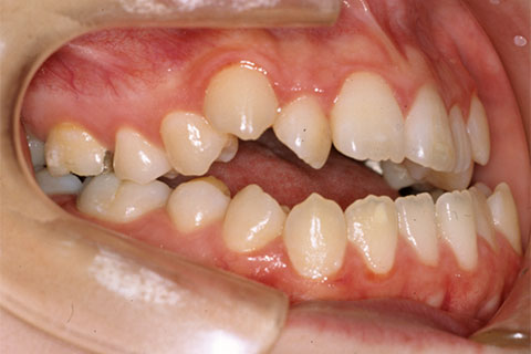
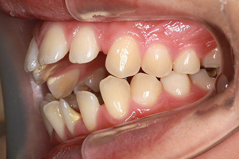
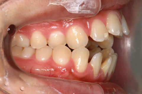
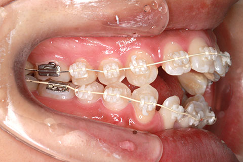
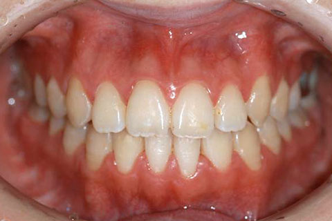
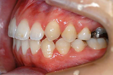
矯正の症例 開咬症

HOME 矯正の症例 開咬症

開咬症とは

開咬症の症状

奥歯は咬んでいるが前歯は咬んでいない状態。奥歯でしか咬み合わず、奥歯への負担が非常に大きくなります。また、幼少期の舌の癖や指しゃぶりが主な原因で、そのまま大人になると治療が難しくなる可能性があります。

開咬症の原因

遺伝的傾向、指しゃぶり、唇を噛む癖、爪噛み、口呼吸、舌癖などが挙げられます。

開咬症の症例

症例一覧