ふかつ歯科・矯正歯科 ご予約・ご相談・お問い合わせはお電話084-982-5111 ふかつ歯科・矯正歯科のインスタグラム

MENU

矯正の症例 開窓・牽引

HOME 矯正の症例 開窓・牽引

開窓・牽引とは

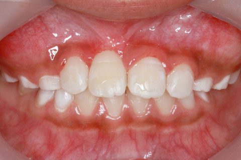
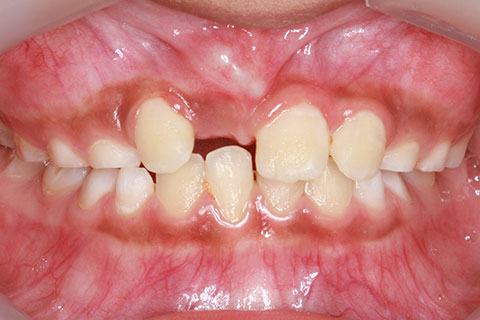
開窓・牽引の症状

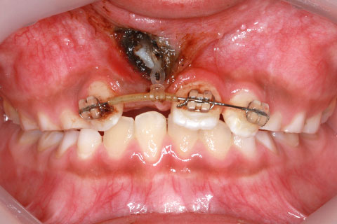
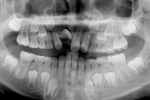
子供の乳歯が抜けて、かなりの時間が経つのに永久歯が生えてこないと心配して来院される親御様は多くいらっしゃいます。この場合、レントゲンにて確認すると大体の場合、もうしばらく待っていれば生えてくるであろうと予測がつきます。しかし、稀に歯の位置異常により、埋まったままの状態で生えてこないことがあります。この場合、待っていても生えてきませんので、矯正力により歯を引っ張り出す必要があります。これを矯正学では開窓・牽引術と呼び、歯肉を切開して、歯の表面を露出させ、そこに矯正器具を付けて、良好な位置まで引っ張り出すという治療法です。

開窓・牽引の症例

症例一覧