ふかつ歯科・矯正歯科 ご予約・ご相談・お問い合わせはお電話084-982-5111 ふかつ歯科・矯正歯科のインスタグラム

MENU

矯正の症例 交叉咬合

HOME 矯正の症例 交叉咬合

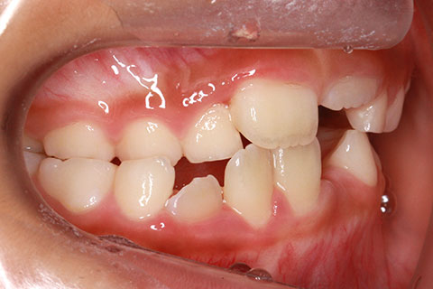
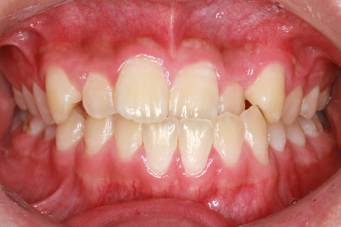
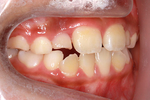
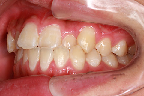
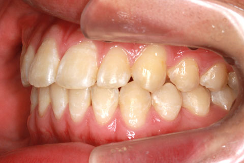
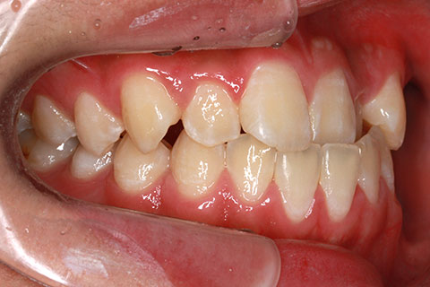
交叉咬合とは

交叉咬合の症状

交叉咬合(こうさこうごう)とは、奥歯のかみ合わせが上下反対に咬んでいる状態のことです。アゴのズレが生じるため、見た目だけでなく、アゴの関節に悪影響を及ぼします。主に顎関節症の原因となります。

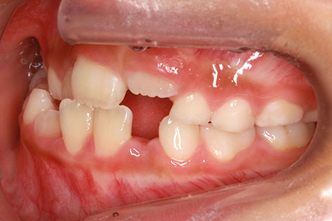
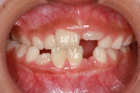
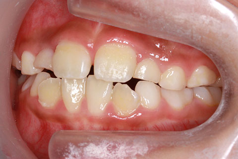
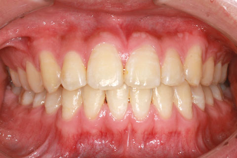
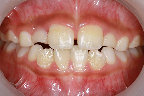
交叉咬合の症例

症例一覧