ふかつ歯科・矯正歯科 ご予約・ご相談・お問い合わせはお電話084-982-5111 ふかつ歯科・矯正歯科のインスタグラム

MENU

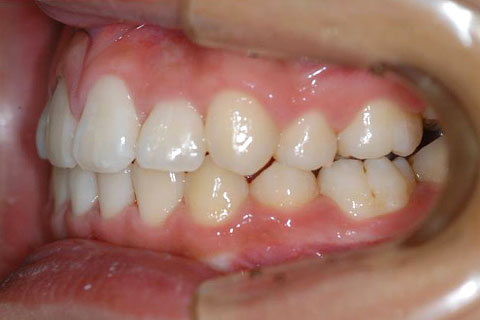
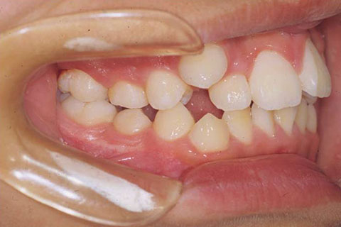
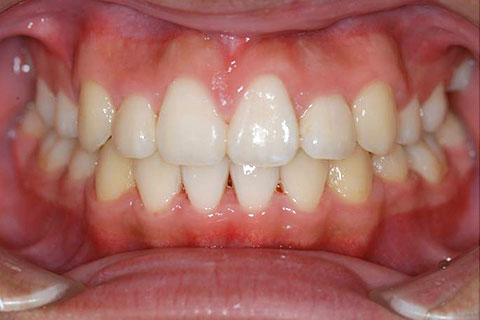
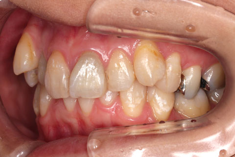
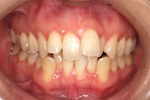
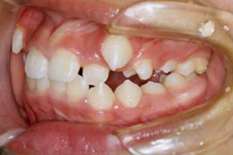
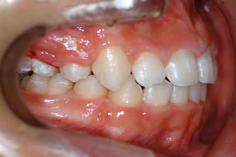
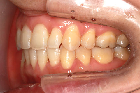
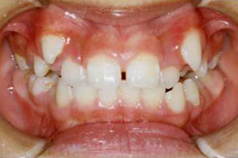
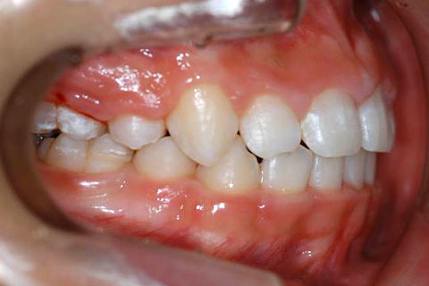
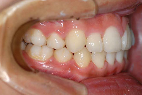
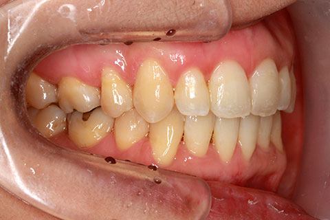
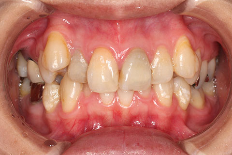
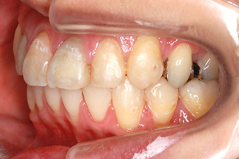
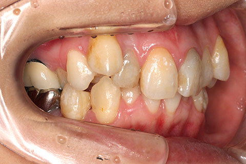
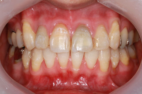
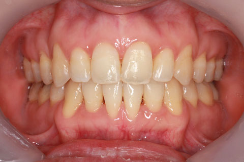
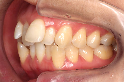
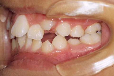
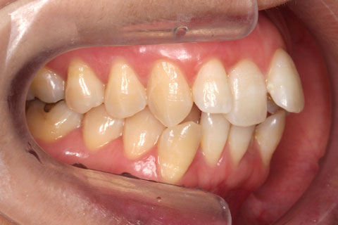
矯正の症例 乱ぐい歯

HOME 矯正の症例 乱ぐい歯

乱ぐい歯とは

乱ぐい歯の症状

歯の大きさと、歯が並ぶアゴの大きさとのアンバランスにより、歯が並びきらず何箇所かで重なっている状態を乱ぐい歯といいます。アンバランスの程度が大き過ぎると永久歯を抜いて矯正治療で歯並びを改善することがあります。乳歯の歯並びでは、その後の大きな永久歯を生やすために"空隙"があるのが正常ですが、永久歯の歯並びでは隣同士の歯はきちんと接している状態が正常です。

乱ぐい歯の原因

歯そのものが大きかったり顎骨の発育不全の場合に起こります。犬歯があとから生えてくるために生じる八重歯などがあります。叢生とは逆のアンバランスの状態、つまり歯が小さいなどの場合、歯並びに隙間のある"空隙"となります。

乱ぐい歯の症例

症例一覧