ふかつ歯科・矯正歯科 ご予約・ご相談・お問い合わせはお電話084-982-5111 ふかつ歯科・矯正歯科のインスタグラム

MENU

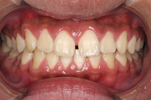
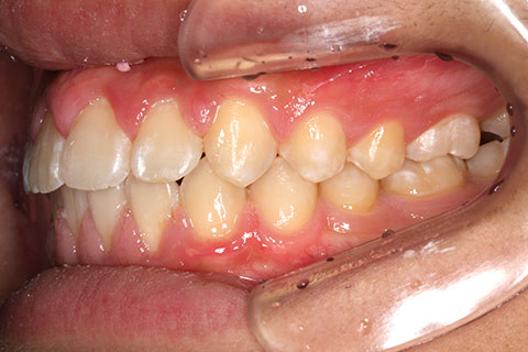
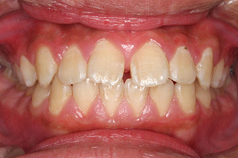
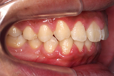
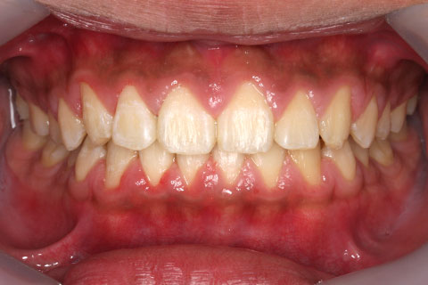
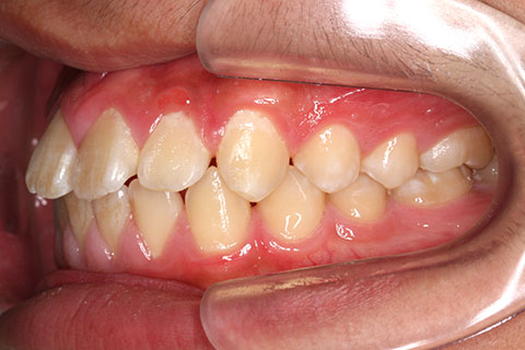
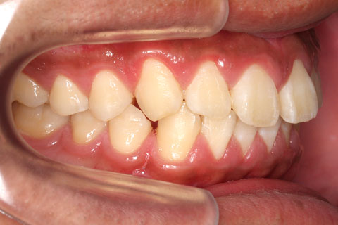
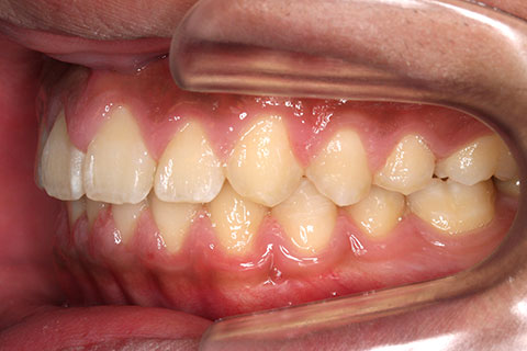
矯正の症例 すきっ歯

HOME 矯正の症例 すきっ歯

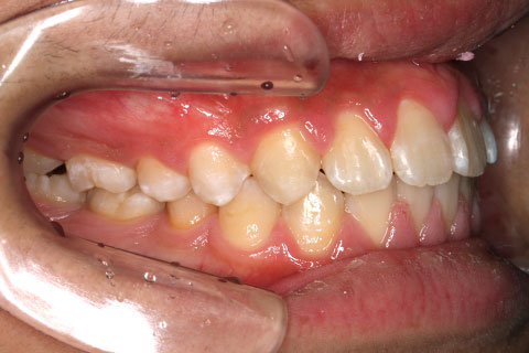
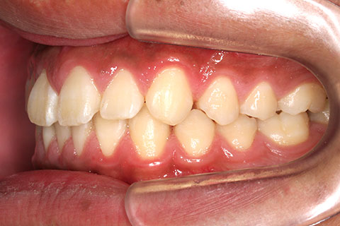
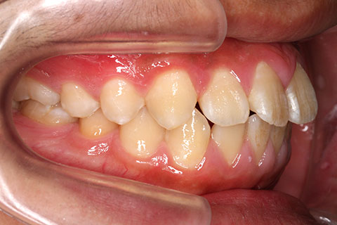
すきっ歯とは

すきっ歯の症状

すきっ歯とは、あごの大きさに比べ歯が小さかったり、歯の数が少なかったために、隙間だらけになっている歯並びのことです。歯の隙間に食べ物が挟まったり、前歯の隙間が目立つことに悩みをもっている方も多いです。

すきっ歯の症例

症例一覧