ふかつ歯科・矯正歯科 ご予約・ご相談・お問い合わせはお電話084-982-5111 ふかつ歯科・矯正歯科のインスタグラム

MENU

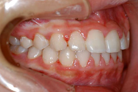
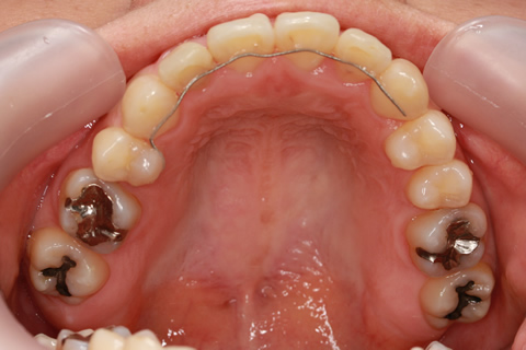
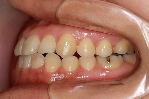
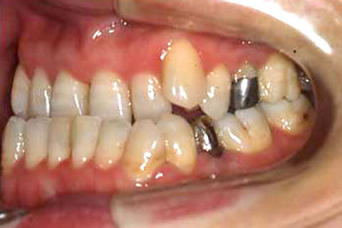
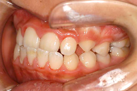
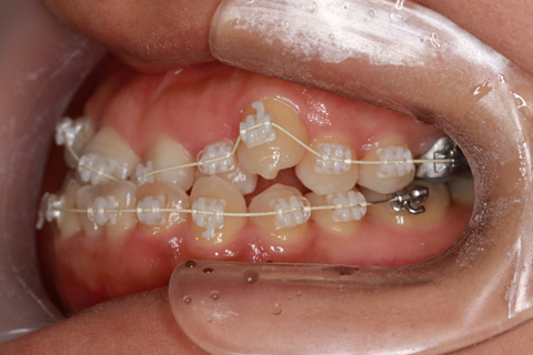
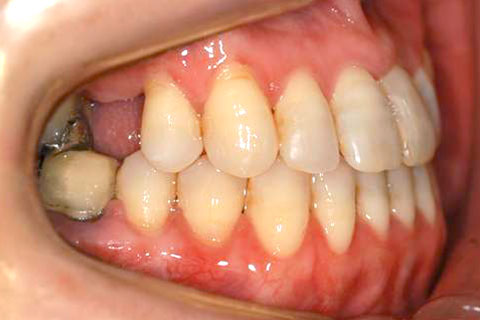
矯正の症例 受け口(反対咬合)

HOME 矯正の症例 受け口(反対咬合)

受け口(反対咬合)とは

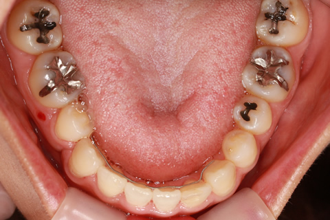
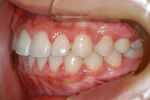
受け口(反対咬合)の症状

下あごが上あごより突出しているか、上あごが下あごより後退している状態で、咬み合わせが逆になっているので反対咬合ともいいます。お子様の場合、受け口(反対咬合)を放置していると、成長期において下あごが過大に成長し悪化しますので、出来る限り早い時期に治療することをおすすめします。受け口(反対咬合)は見た目の問題だけでなく顎の動きを制限し、将来的に顎の痛み(顎関節症)を引き起こす場合があります。また、お子様の場合は、正常な上顎の成長を阻害する可能性があります。

受け口(反対咬合)の原因

遺伝によるもの、永久歯への生え変わりがスムーズに行なわれなかった場合、その他として、鼻の病気・舌の癖・舌が大きい・舌小帯の位置異常などが挙げられます。

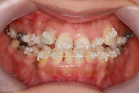
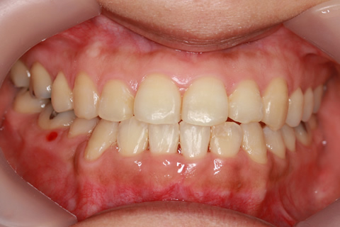
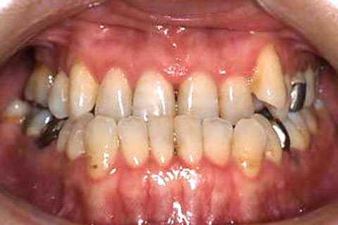
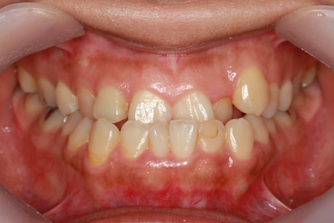
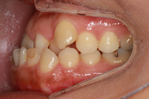
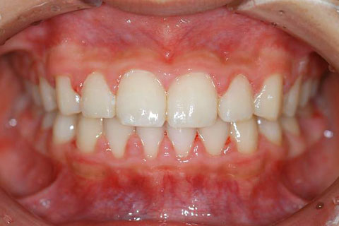
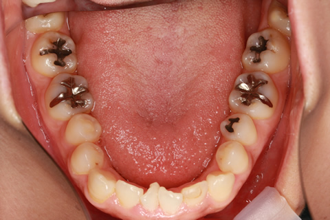
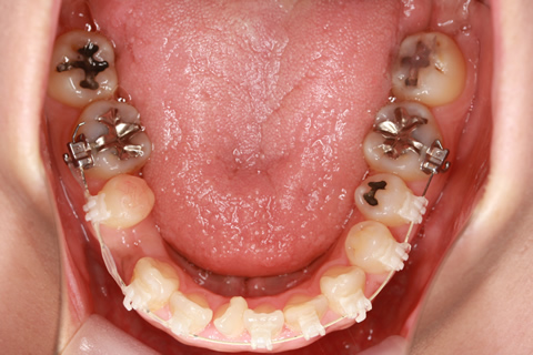
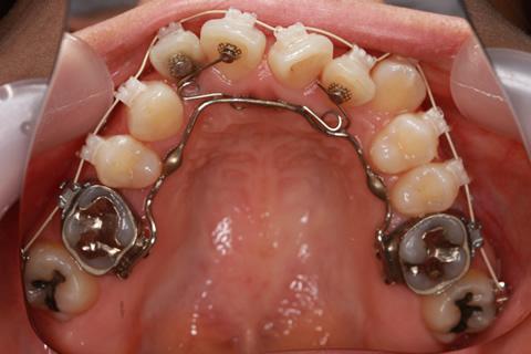
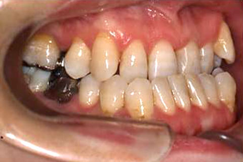
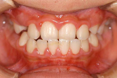
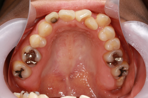
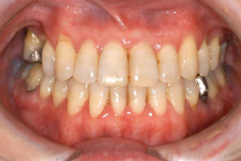
受け口(反対咬合)の症例

症例一覧