ふかつ歯科・矯正歯科 ご予約・ご相談・お問い合わせはお電話084-982-5111 ふかつ歯科・矯正歯科のインスタグラム

MENU

Menu 一般治療の症例集

HOME 診察メニュー 一般治療の症例集

一般治療の症例集

セラミック治療

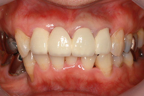
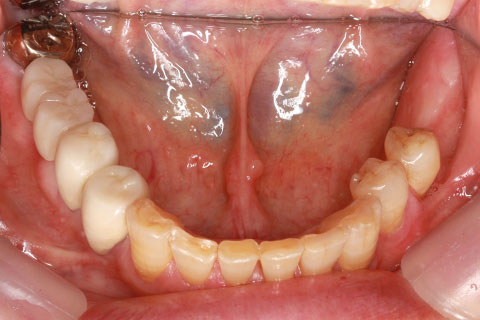
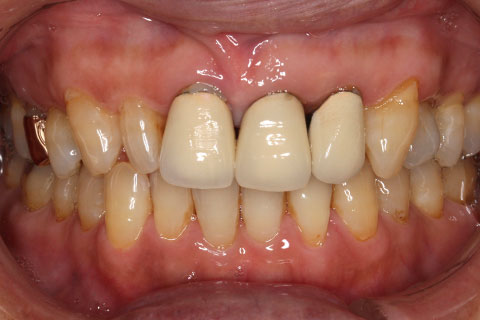
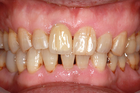
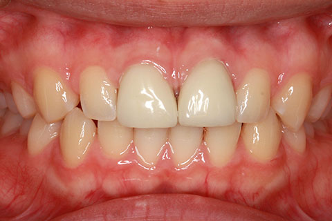
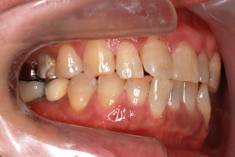
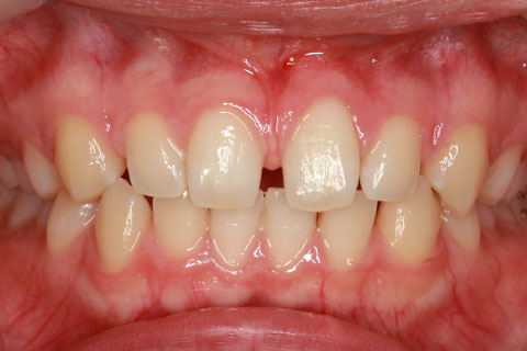
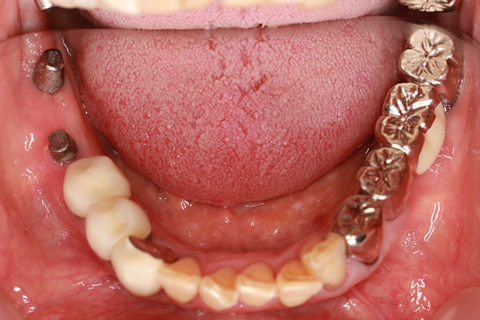
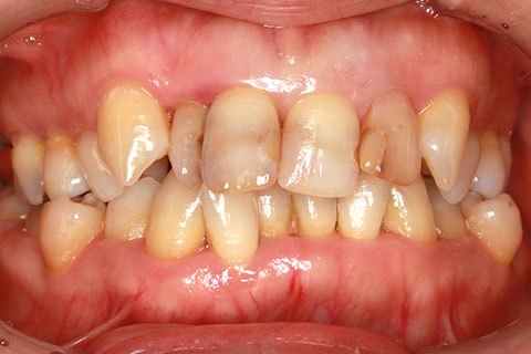
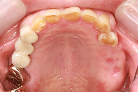
  • ジルコニアブリッジの症例1

    治療前

    治療後

    年齢・性別
    30歳男性
    治療期間
    1ヶ月
    抜歯
    右下5番欠損
    治療費
    16.5万円(税込み)
    備考
    歯質の削除量を最小限に抑えるブリッジ治療
    治療内容
    欠損部位の隣接歯を削合後、セメント合着
    施術の副作用(リスク)
    知覚過敏、歯髄炎、荷重負担
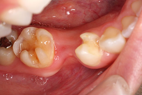
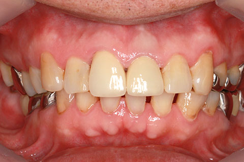
  • ジルコニアブリッジの症例2

    治療前

    治療後

    年齢・性別
    40歳男性
    治療期間
    1ヶ月
    抜歯
    右上5番欠損
    治療費
    16.5万円
    備考
    歯質の削除量を最小限に抑えるブリッジ治療
    治療内容
    欠損部位の隣接歯を削合後、セメント合着
    施術の副作用(リスク)
    知覚過敏、歯髄炎、荷重負担
  • ジルコニアブリッジの症例3

    治療前

    治療後

    年齢・性別
    25歳女性
    治療期間
    1ヶ月
    抜歯
    右下5番欠損
    治療費
    16.5万円(税込み)
    備考
    歯質の削除量を最小限に抑えるブリッジ治療
    治療内容
    欠損部位の隣接歯を削合後、セメント合着
    施術の副作用(リスク)
    知覚過敏、歯髄炎、荷重負担
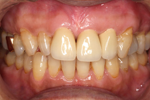
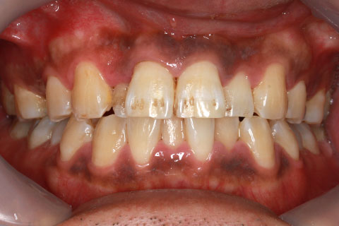
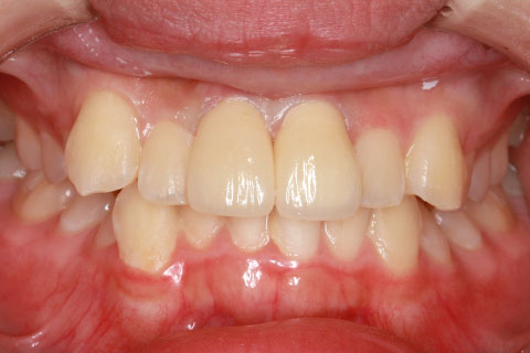
  • オールセラミックの症例1

    治療前

    治療後

    上顎前歯のデコボコと色調を改善。

    年齢・性別
    40歳女性
    治療期間
    1ヶ月
    抜歯
    なし
    治療費
    35.2万円
    備考
    前歯4本の変色歯及び歯列不正によるセラミック治療
    治療内容
    歯質を削除し、セラミック冠をセメント合着
    施術の副作用(リスク)
    知覚過敏、歯髄炎、荷重負担
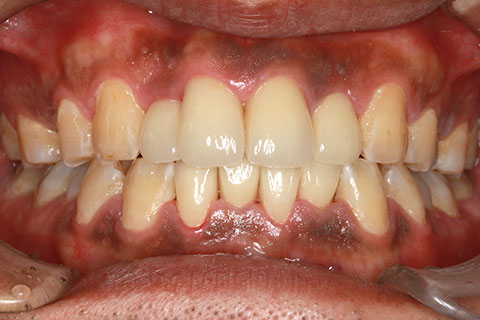
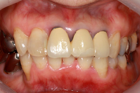
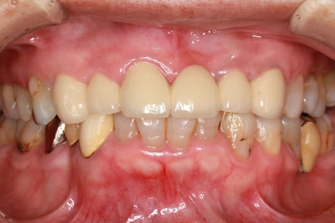
  • オールセラミックの症例2

    治療前

    治療後

    年齢・性別
    45歳男性
    治療期間
    2ヶ月
    抜歯
    なし
    治療費
    70.4万円
    備考
    前歯8本の歯列不正によるセラミック治療
    治療内容
    歯質を削除し、セラミック冠をセメント合着
    施術の副作用(リスク)
    知覚過敏、歯髄炎、荷重負担
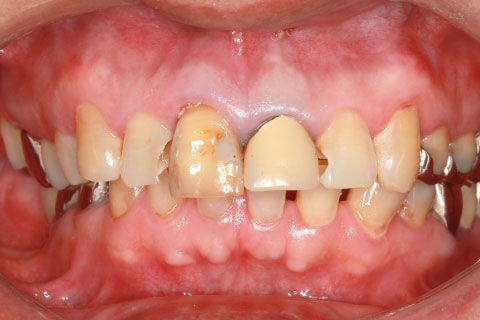
  • オールセラミックの症例3

    治療前

    治療後

    古くなった被せをジルコニアセラミックスで治療。

    年齢・性別
    60歳女性
    治療期間
    1ヶ月
    抜歯
    なし
    治療費
    35.2万円
    備考
    古くなった被せを新たなセラミックス冠にする。
    治療内容
    歯質を削除し、セラミック冠をセメント合着
    施術の副作用(リスク)
    知覚過敏、歯髄炎、荷重負担
  • オールセラミックの症例4

    治療前

    治療後

    古くなった被せをジルコニアセラミックスで治療。

    年齢・性別
    65歳女性
    治療期間
    1ヶ月
    抜歯
    なし
    治療費
    35.2万円
    備考
    古くなった被せを新たなセラミックス冠にする。
    治療内容
    歯質を削除し、セラミック冠をセメント合着
    施術の副作用(リスク)
    知覚過敏、歯髄炎、荷重負担
  • オールセラミックの症例5

    治療前

    治療後

    古くなった被せをジルコニアセラミックスで治療。

    年齢・性別
    55歳女性
    治療期間
    1ヶ月
    抜歯
    なし
    治療費
    26.4万円
    備考
    古くなった被せを新たなセラミックス冠にする。
    治療内容
    歯質を削除し、セラミック冠をセメント合着
    施術の副作用(リスク)
    知覚過敏、歯髄炎、荷重負担
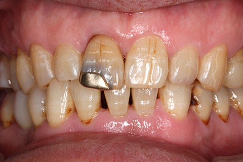
  • オールセラミックの症例6

    治療前

    治療後

    40年前の金歯をジルコニアセラミックスで治療。

    年齢・性別
    65歳男性
    治療期間
    1ヶ月
    抜歯
    なし
    治療費
    8.8万円
    備考
    金歯をセラミックス冠に変更。
    治療内容
    歯質を削除し、セラミック冠をセメント合着
    施術の副作用(リスク)
    知覚過敏、歯髄炎、荷重負担
  • オールセラミックの症例7

    治療前

    治療後

    前歯2本のねじれをジルコニアセラミックスで治療。

    年齢・性別
    17歳女性
    治療期間
    1ヶ月
    抜歯
    なし
    治療費
    35.2万円
    備考
    前歯4本の歯列不正によるセラミック治療
    治療内容
    歯質を削除し、セラミック冠をセメント合着
    施術の副作用(リスク)
    知覚過敏、歯髄炎、荷重負担
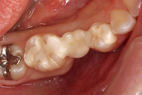
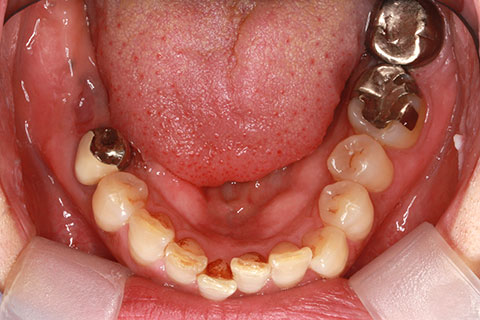
  • セラミックインレーの症例1

    治療前

    治療後

    年齢・性別
    30歳女性
    治療期間
    1ヶ月
    抜歯
    なし
    治療費
    11万円
    備考
    奥歯2本の銀歯をセラミックにやりかえ。
    治療内容
    歯質を削除し、セラミックインレーをセメント合着
    施術の副作用(リスク)
    知覚過敏
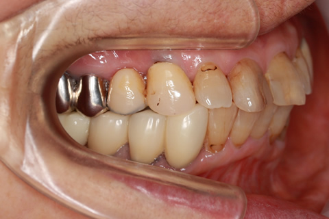
  • メタルセラミック冠の症例1

    治療前

    治療後

    年齢・性別
    50歳男性
    治療期間
    1ヶ月
    抜歯
    なし
    治療費
    26.4万円
    備考
    前歯4本の古い被せをメタルセラミックにやりかえ。
    治療内容
    歯質を削除し、セラミック冠をセメント合着
    施術の副作用(リスク)
    知覚過敏
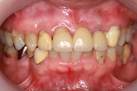
  • 硬質レジン前装冠の症例1

    治療前

    治療後

    年齢・性別
    20歳女性
    治療期間
    1ヶ月
    抜歯
    なし
    治療費
    保険治療
    備考
    前歯の隙間を被せにて治療
    治療内容
    歯質を削除し、レジン前装冠にてセメント合着
    施術の副作用(リスク)
    知覚過敏

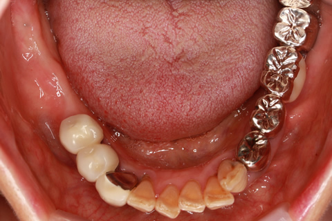
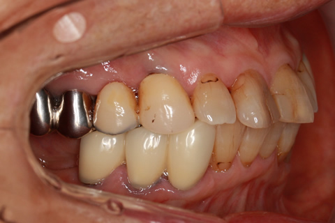
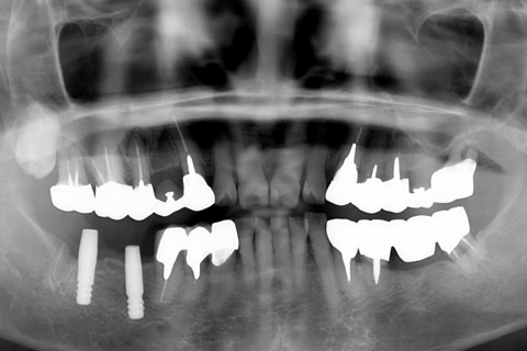
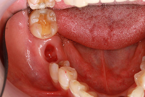
インプラント

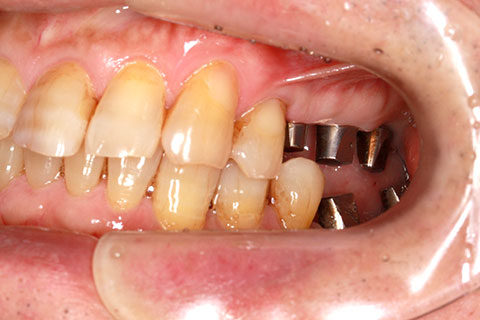
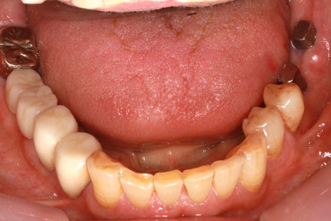
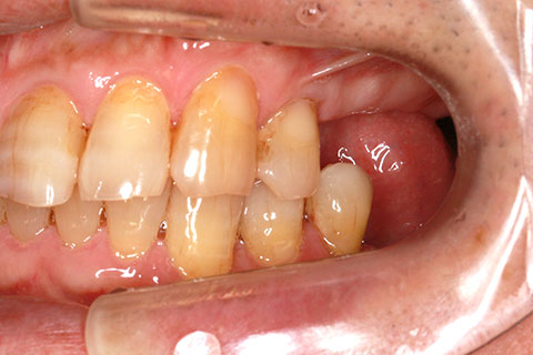
  • 症例1

    治療前

    インプラント埋入時

    治療後

    年齢・性別
    55歳女性
    治療期間
    2ヶ月
    抜歯
    なし
    治療費
    61.6万円
    備考
    右下6.7欠損
    治療内容
    右下6.7欠損部にインプラント埋入
    施術の副作用(リスク)
    オペによる知覚障害。インプラントによる歯肉炎。インプラント脱落。
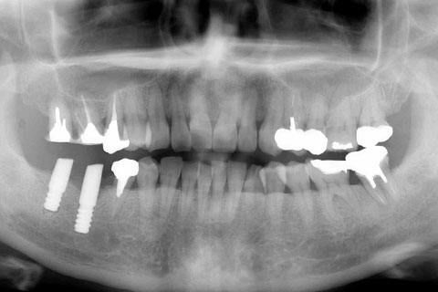
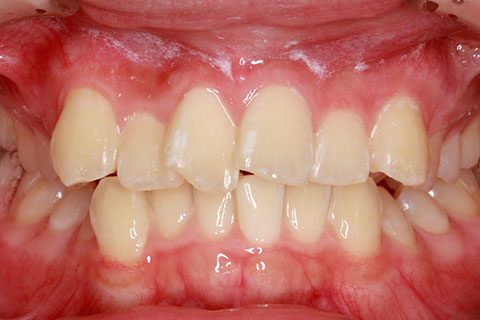
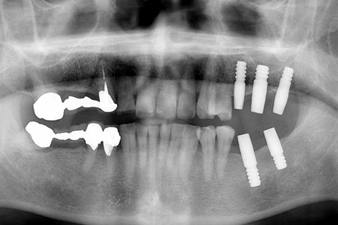
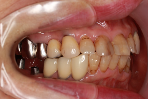
  • 症例2

    治療前

    インプラント埋入時

    治療後

    年齢・性別
    57歳男性
    治療期間
    3ヶ月
    抜歯
    なし
    治療費
    154万円
    備考
    左上5.6.7 及び左下6.7欠損
    治療内容
    左上5.6.7と左下6.7欠損部にインプラント埋入
    施術の副作用(リスク)
    オペによる知覚障害。インプラントによる歯肉炎。インプラント脱落。
  • 症例3

    治療前

    インプラント埋入時

    治療後

    年齢・性別
    60歳男性
    治療期間
    2ヶ月
    抜歯
    なし
    治療費
    61.6万円
    備考
    右下6.7欠損
    治療内容
    右下6.7欠損部にインプラント埋入
    施術の副作用(リスク)
    オペによる知覚障害。インプラントによる歯肉炎。インプラント脱落。

ホワイトニング

  • 症例1

    治療前

    2週間後

    年齢・性別
    23歳
    治療期間
    2週間
    抜歯
    なし
    治療費
    4.4万円
    備考
    ホームホワイトニング
    治療内容
    10~20%の漂白剤を含んだマウスピースを一日数時間装着。
    施術の副作用(リスク)
    一時的な知覚過敏。
  • 症例2

    治療前

    2週間後

    年齢・性別
    30歳
    治療期間
    2週間
    抜歯
    なし
    治療費
    4.4万円
    備考
    ホームホワイトニング
    治療内容
    10~20%の漂白剤を含んだマウスピースを一日数時間装着。
    施術の副作用(リスク)
    一時的な知覚過敏。
  • 症例3

    治療前

    2週間後

    年齢・性別
    35歳
    治療期間
    2週間
    抜歯
    なし
    治療費
    4.4万円
    備考
    ホームホワイトニング
    治療内容
    10~20%の漂白剤を含んだマウスピースを一日数時間装着。
    施術の副作用(リスク)
    一時的な知覚過敏。

診療メニュー