HOME
診察メニュー インプラント
インプラントとは
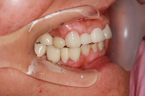
インプラント(人工歯根)とは、歯が抜けてしまったところの骨にチタンからなるインプラント体を埋め込んで、その上に人工の歯を装着する治療法です。見た目も自然で根本から固定されているので、入れ歯のように口の中で動いてしまったり、食べ物を噛み砕くことができないことはありません。また話がしにくいと言うこともなく、まるで天然の歯があるのと同じように生活できるようになります。
日本先進インプラント医療学会 専門医
矯正治療は外科的な手技を伴わないため、矯正医が外科領域であるインプラント治療に踏み込むことは珍しく、さらにインプラント専門医の資格まで取得しているケースは非常に稀です。当院のワンストップサービスというコンセプト強化のため、矯正医である私が、インプラント専門医の資格を取得しました。
高い専門性を実現
あなたに最適な治療を
院長/歯学博士渡邉 武寛
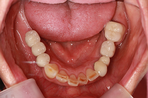
1ピースインプラント
1ピースインプラントで治療期間を短縮することができます。
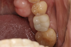
通常インプラント(人工歯根)とは、フィクスチャーとアバットメントが別々に存在し、それらを繋げてから、その上に人工の歯を装着する治療法です。そのため、オペが2回必要となり、構造体も色々と煩雑です。
しかし当院のインプラントは、フィクスチャーとアバットメントが最初から連結された1ピース型インプラントを使用しているため、1回のオペで完結し、頑丈で壊れにくいシンプルな構造となっています。
また、通常のチタンインプラントではなく、HA(ハイドロキシアパタイト)コーティングを施したチタンインプラントのため、骨との結合が早く、治療期間の短縮につながります。しかもインプラント埋入後の初期固定が得られなくとも、骨との固定力が強いため、インプラントの脱落などのリスクが少なく、骨結合の成功率は非常に高いといえます。詳しくはお電話にてお気軽にお問い合わせください。
-
01インプラント(1ピース型)
- Point01効率的かつ耐久性を追求
- 従来のインプラント治療法と比較して、より効率的で耐久性のある1ピース型インプラントを使用します。
- Point02治療期間の短縮
- 1ピース型インプラントは、フィクスチャーとアバットメントが一体型になっているため、手術が1回で完了し、構造がシンプルで壊れにくいのが特長、治療期間の短縮が可能です。
- Point03審美性と機能性
- 1ピース型インプラントは、直径3㎜の細いインプラントを含むラインナップがあるため、骨の狭いスペースにも柔軟に対応でき、骨量が限られている部位でも有効で、より適した治療計画が可能です。
特徴
①シンプルな構造
1ピース型インプラントは、一体型の構造を持つため、部品が少なく、取り扱いが簡単です。これにより、手術は1回で完結し、手術時間も短く、トラブルを減少させることができます。
②高い安定性
AQBインプラントは、骨との結合が良好で、長期にわたる安定性を提供します。これにより、患者の負担を減らし、インプラントの寿命を延ばすことが期待できます。
③審美性
1ピース型インプラントは審美的にも優れており、自然な歯の外観を実現します。特に前歯部のインプラントにおいて、その効果が顕著です。
④治療の迅速化
部品が少ないため、手術後の回復が早く、患者はより早く通常の生活に戻ることができます。
⑤コストパフォーマンス
構造がシンプルであるため、通常のインプラントよりもコストが抑えられる場合があります。
これらのメリットを考慮すると、AQBの1ピース型インプラントは多くの患者様にとって有力な選択肢となります。院長は、1ピース型インプラントの専門医を取得しております。歯を失って困っている患者様はお気軽にご相談ください。
インプラント専門医とは?歯科医全体の約1.3%
資格取得のハードル
- 筆記試験と口頭試問
- 20症例以上(上部構造装着後3年以上)の提出
- 5年以上の学会・研修施設在籍と学術発表
上記の条件をすべて満たして初めて専門医を名乗れます。特に20症例の提示は「結果が3年以上安定している」ことが要件で、単なる埋入件数では合格できません。合格後も5年ごとに更新審査があり、最新のエビデンスを学び続ける姿勢が求められます。この厳格さゆえ、日本の歯科医師約10万人のうち専門医は1,300名ほど、割合にして1.3%前後にとどまっています。
一般歯科との違い
- 診断からメンテナンスまで一貫担当
- 骨造成・即時荷重など難症例への対応力
- 学会基準の保証制度
専門医は外科と補綴をワンストップで統括するため、情報の行き違いを抑えられます。骨造成や抜歯即時インプラントなど高度な治療を安全に提供できる点も強みです。保証内容は学会ガイドラインをベースに書面で明示され、再治療時に「聞いていなかった」といったトラブルを防ぎます。
ふかつ歯科・矯正歯科が“1ピース型”を採用する3つの理由
手術1回で身体への負担を軽減
アバットメント一体型なので追加切開が不要。術後の腫れや痛みが少なく、回復が早い点が患者さまから高く評価されています。
HAコーティングで骨結合が早い
ハイドロキシアパタイト表面は骨芽細胞を呼び込み、早期に骨結合を得られます。これにより治療期間が短縮し、仮歯装着までの待機時間も少なくなります。
前歯でも自然な審美性
連結ネジがないため歯肉退縮が起きても金属の黒ずみが出にくく、笑ったときの歯肉ラインが美しく保たれます。
1ピース型の注意点(デメリット)
角度修正が難しいため、理想的なポジションに埋入するには精密なシミュレーションが不可欠です。また骨造成を同時に行う症例では、初期固定が十分得られないと即時荷重が適応外になることもあります。
ワンストップ治療フローと長期保証
診断からメンテナンスまでの5ステップ
- 【STEP 1】無料カウンセリング・CT診断
- 【STEP 2】3Dシミュレーション+総額見積り
- 【STEP 3】1ピース手術(30~60分)
- 【STEP 4】上部構造装着・咬合調整
- 【STEP 5】3か月ごとのメンテナンス
専門医が一貫して担当し、術前に追加費用の可能性をすべて提示します。術後は咬合調整とクリーニングを継続し、長期安定をサポートします。
長期保証制度
最長10年*を上限に、インプラント体・上部構造の破損や脱落を対象とした保証を用意(*症例・メンテナンス受診状況で変動)。適用条件は契約書で明示します。
まずは無料カウンセリングへ
予約方法と当日の流れ
Webフォームで24時間受付。CT画像をもとに骨量や歯肉の状態を詳しく説明し、インプラント以外の治療法も含めて費用・期間を比較提示します。相談のみでも費用はかかりませんのでお気軽にご予約ください。
料金
| 施術名 |
価格 |
|
|
インプラント埋入
220,000円 |
|
セラミック冠装着
110,000円
(インプラント埋入して、2〜3ヶ月後に装置します。) |
| total |
330,000円 |
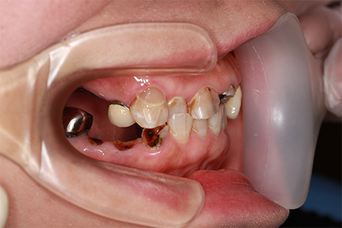
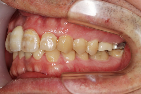
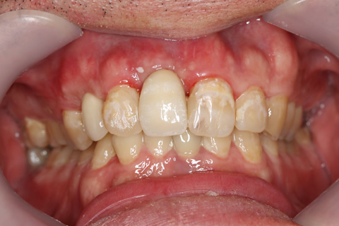
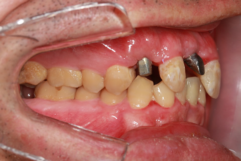
症例
-
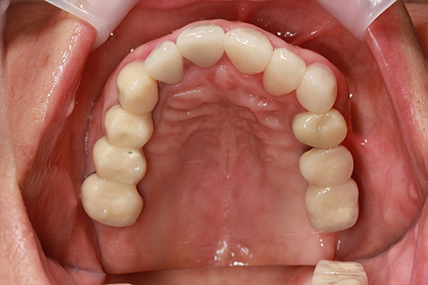
症例1
- 年齢・性別
- 55歳女性
- 治療期間
- 2ヶ月
- 抜歯
- なし
- 治療費
- 66万円
- 備考
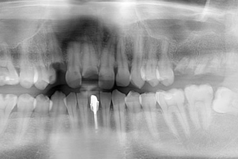
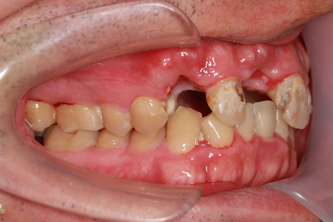
- 右下6.7欠損
- 治療内容
- 右下6.7欠損部にインプラント埋入
- 施術の副作用(リスク)
- オペによる知覚障害。インプラントによる歯肉炎。インプラント脱落。
-
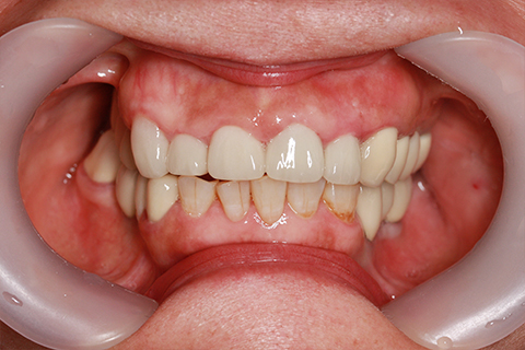
症例2
- 年齢・性別
- 57歳男性
- 治療期間
- 3ヶ月
- 抜歯
- なし
- 治療費
- 165万円
- 備考
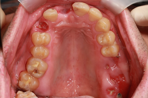
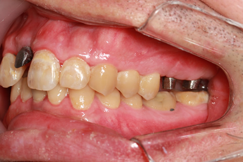
- 左上5.6.7 及び左下6.7欠損
- 治療内容
- 左上5.6.7と左下6.7欠損部にインプラント埋入
- 施術の副作用(リスク)
- オペによる知覚障害。インプラントによる歯肉炎。インプラント脱落。
-
症例3
- 年齢・性別
- 60歳男性
- 治療期間
- 2ヶ月
- 抜歯
- なし
- 治療費
- 66万円
- 備考
- 右下6.7欠損
- 治療内容
- 右下6.7欠損部にインプラント埋入
- 施術の副作用(リスク)
- オペによる知覚障害。インプラントによる歯肉炎。インプラント脱落。
-
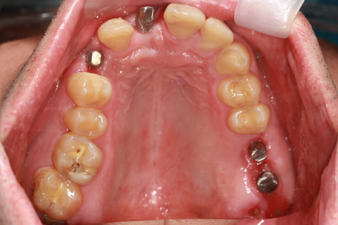
症例4
- 年齢・性別
- 60歳
- 治療期間
- 6ヶ月
- 抜歯
- 残根抜歯のみ
- 治療費
- 198万円
- 備考
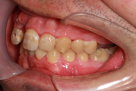
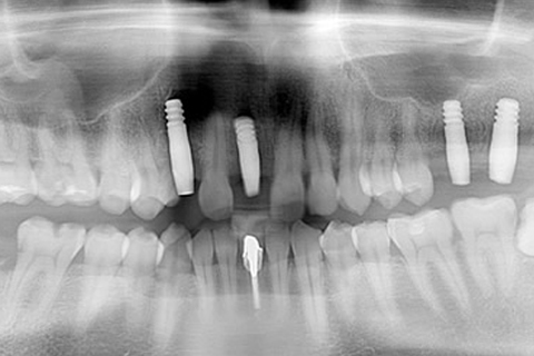
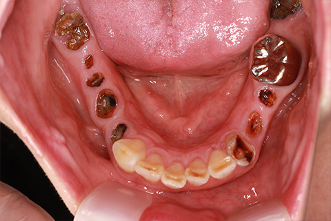
- 右上5.6 右下5 左下4.5.6欠損
- 治療内容
- 6本のインプラントを右左側に2回に分けて埋入
- 施術の副作用(リスク)
- オペによる知覚障害。インプラントによる歯肉炎。インプラント脱落。
-
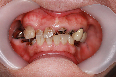
症例5
- 年齢・性別
- 35歳男性
- 治療期間
- 3ヶ月
- 抜歯
- 右上1.3左上6.7の残根抜歯
- 治療費
- 132万円
- 備考
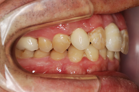
- 右上1.3左上6.7の欠損部
- 治療内容
- 4本のインプラントを一回のオペで埋入。
- 施術の副作用(リスク)
- オペによる知覚障害。インプラントによる歯肉炎。インプラント脱落。
診療メニュー