カスタムトレイ上の対象歯に一本線を描くようにジェルを注入します。ジェルの使用量は歯科医師の指示に従って注入しましょう。
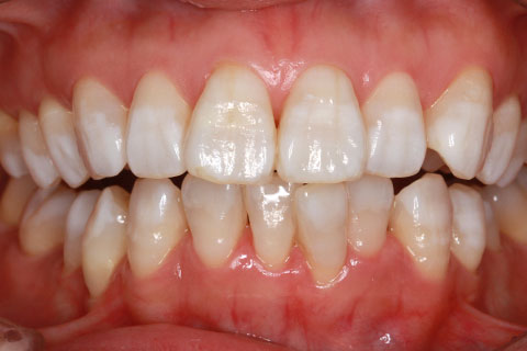
「白い歯になりたい!」と思っている方は多いのではないでしょうか?ホームホワイトニングとは、マウスピースと薬液を使用して自宅で簡単にできるホワイトニング方法で、誰でも簡単に白い歯を手に入れることができます。
ホームホワイトニングの使用方法はいたって簡単です。患者様の歯型をとってマウスピースを作製します。そのマウスピースに薬液を入れて、お家で1日数時間、2週間~1ヶ月程度装着するだけです。ホワイトニングの薬液は過酸化尿素と過酸化水素を主成分としています。オキシドール消毒薬に代表されるように広く普及しており、安全面においても問題ありません。
ホワイトニングの費用は当院で4万円ですが、自分の歯をすべて自然な白さにできることを思えば決して高い金額ではないと思います。ご自宅で簡単にホワイトニングを行って、輝く白い歯を手にいれましょう!
歯科医院でご自身専用のマウスピース(カスタムトレイ)を作成してもらい、ご自宅でホワイトニング材をトレイに入れてホワイトニングを行う方法です。



カスタムトレイ上の対象歯に一本線を描くようにジェルを注入します。ジェルの使用量は歯科医師の指示に従って注入しましょう。

カスタムトレイに適切にジェルが注入できていることを確認し、トレイを装着します。トレイの装着方法、装着時間は、歯科医院で指導を受けましょう。

余分なジェルは柔らかい歯ブラシやティッシュ等で除去しましょう。

トレイ装着後は、口の中を水で十分にすすぎ、必要に応じて歯ブラシ等でジェルを除去します。カスタムトレイも同様に、歯ブラシ等でジェルを洗い流してください。
※料金はすべて税込価格です。
| 施術名 | 本数・内容 | 価格 |
|---|---|---|
| 全額 | ジェル8本・トレー上下・ケース | 44,000円 |
| 片顎 | ジェル4本・トレー上か下・ケース | 22,000円 |
| トレー再製(全顎) | 1個 | 17,600円 |
| トレー再製(片顎) | 1個 | 8,800円 |
| ホワイトニングジェル | 4本 | 4,400円 |
| ウォーキングブリーチ | 1個 | 初回11,000円 2回目以降1回2,200円 |
当院で歯のチェックと着色の原因を診断いたします。クラウンや詰め物はホワイトニングができませんので、ホワイトニングをした後にやりかえる場合もあります。また、新しいクラウンを入れる時は、クラウンに合わせてご自分の歯をホワイトニングすることをお勧めいたします。