ふかつ歯科・矯正歯科 ご予約・ご相談・お問い合わせはお電話084-982-5111 ふかつ歯科・矯正歯科のインスタグラム

MENU

矯正治療について 新時代の矯正治療

HOME 矯正治療について 新時代の矯正治療

最新鋭の口蓋骨アンカースクリューを導入!

スピーディで確実な治療結果に期待!最新鋭の口蓋骨アンカースクリューを矯正治療に導入しました。まず痛そうですが、痛みはほとんどありませんのでご安心下さい。歯列不正を引き起こしている原因は本当に様々な要素が相まっています。歯の位置、歯の大きさ、顎の幅、上下のアゴの位置関係、etc...矯正治療開始される患者様の2割はかなりシビアな状態であり、今までの矯正治療では100%の状態までキレイに治せないものでした。

患者様には莫大な時間と費用を費やしていただいているにも関わらず、私自身、納得のいく治療結果が得られなかったケースは少なからず存在します。それは私だけでなく、矯正治療を専門として、より志が高い矯正医であれば、同じことを痛感しているはずです。

でも諦めてはいけません。矯正歯科は日進月歩です。治療法や材料は日々、進化しています。そして、21世紀の矯正歯科界に舞い込んできた救世主が、このアンカースクリューなのです。矯正治療には、120年の歴史があります。その歴史の中で最大のギフトと言われているアンカースクリューとは一体何なのでしょうか?

矯正治療で動かしたい歯はいくらでも動かせますが、動かしたくない歯をいかに動かさずに留めておくかというのが難題であり、永遠のテーマだったのです。そのアンカーロスを起こさない不動固定というのを確実なものとしたのが、アンカースクリューなのです。歯をアンカーとせずに骨をアンカーとする事で、歯の引っ張り合いをさせることなく矯正治療が可能となりました。

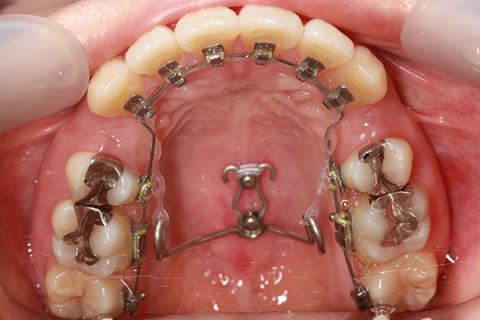
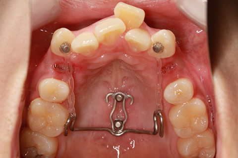
初期のアンカースクリューは固定源として使うだけのものでしたが、矯正歯科界を代表する重鎮の先生方により進化していき、上顎の口蓋正中部に埋入したスクリューに、専用ワイヤーを装着することで、大臼歯のコントロール、前歯部のリトラクション、他多くのメカニクスのアンカレッジとして使用できるようになりました。

これにより、どんな歯並びも怖くありません!当院のアンカースクリューを駆使した矯正治療にお任せ下さい。(注)スクリューを入れた方が良さそうな場合のみ、カウンセリング時にご説明いたします。痛そうだし、怖いから入れたくない方は遠慮なくおっしゃってください。他の方法を検討します。

初期に開発されたアンカースクリュー

安心・納得の矯正治療