HOME
矯正治療について 舌側矯正(裏側矯正)
舌側矯正(裏側矯正)
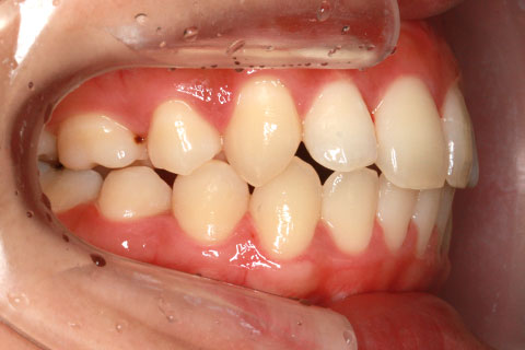
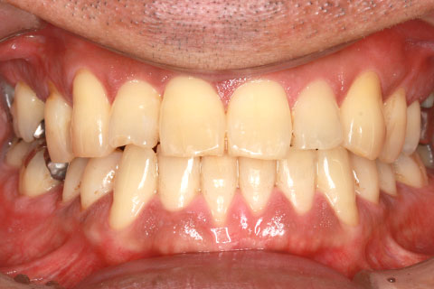
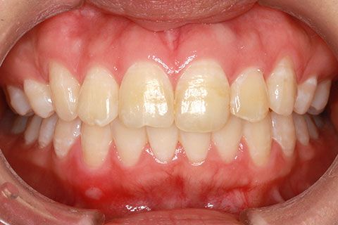
当院の矯正治療はすべて矯正器具が目立たない審美性に優れたブラケットとワイヤーを使用して行っております。そのため、ギラギラと目立つ金属の器具は一切使用しません。また、他人から見えにくい舌側(裏側)矯正治療も行っておりますのでご相談ください。
WIN舌側矯正を施術している矯正歯科は全国に多数ありますが、2020年における年間患者数が最も多かった認定医ベスト10に贈られた「クリスタル楯」です。
(注)WINシステムであるDW Lingual System Japanは、2022年に日本事業から撤退したため、取り扱い不可能となり、現在は、e-brace社と提携しております。
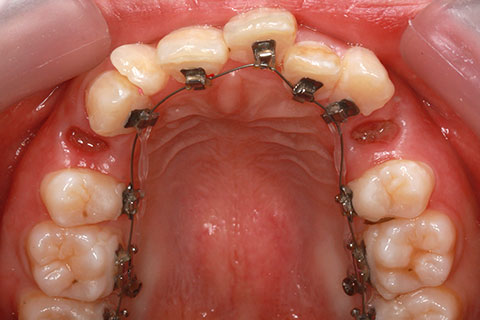
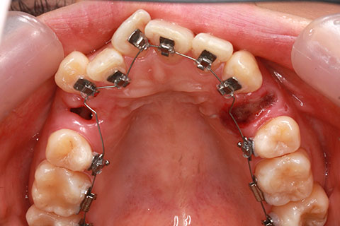
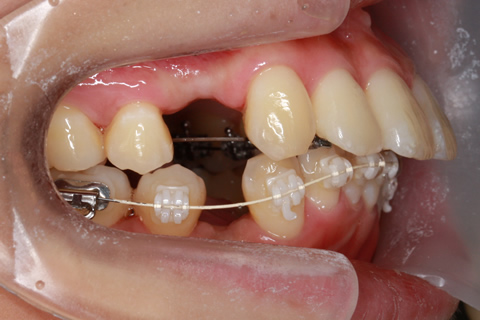
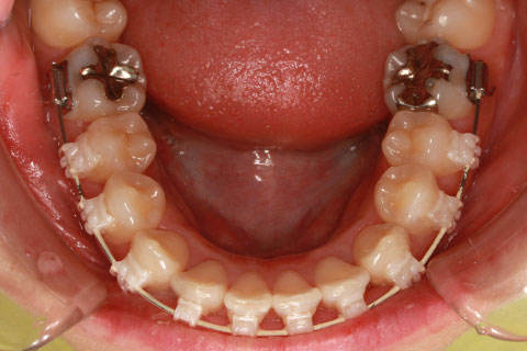
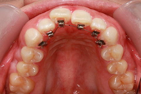
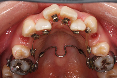
カスタムメイド舌側装置
カスタムメイド舌側装置は他人から見えにくい矯正装置です。歯の裏側に装置を取り付け、歯並びや噛み合わせなど気になる問題を解決し、歯を美しく整えます。カスタムメイド舌側装置は、ドイツで生まれたカスタムメイド型リンガルブラケット矯正装置。ヨーロッパでトップシェアを誇り、世界60か国以上で使われています。最大の特徴は、一つひとつの歯に合わせて完全オーダーメイドで作るという点です。
歯の裏側はとても複雑な形をしており、当然ながら形も大きさも人それぞれ異なります。そのため、形が決まっている既成の矯正装置を適合させるには樹脂をたっぷり盛る必要があり、どうしても厚みが出てしまうのです。しかし、カスタムメイド舌側装置はブラケットからオーダーメイドするため、どんなに複雑な形をした歯でも完璧にフィットさせることができます。装置の厚みもほとんどありません。より自然でより快適な矯正生活が送れることをお約束いたします。
舌側矯正(裏側矯正)とは
舌側矯正は表側矯正よりも高度な治療技術を要するため、全ての症例に適応できるわけではありませんが、患者様のご要望に沿えるように尽力いたします。
現在、当院が行っている舌側矯正治療はカスタムメイド舌側装置を使用し、カリエールモーションやアンカースクリュー、アライナーなどの装置と併用して良好な治療結果が望めるようになってきました。
舌側矯正(裏側矯正)の利点
- 他人に矯正装置が見えにくい
- 表側の歯にダメージがない
- 歯が前に出ている症例では前歯が後退させやすい
- 虫歯のリスクが低い(歯ブラシや定期的な清掃(PMTC)はしっかり行わないといけない)
- スポーツなどの外傷が少ない(裏側なので頬や唇を傷つけるリスクが少ない)
舌側矯正(裏側矯正)の欠点
- 料金が割高になる→当院では従来型の舌側矯正からフルデジタル舌側矯正に移行したため高額ですが、その分、治療後の仕上がりに期待できます。
- 違和感が大きく、発音がしにくい→当院が採用しているカスタムメイド舌側装置は、個人の歯に合わせたオーダーメイドブラケットのため、従来のものと比較すると違和感は少なくなっております。発音に関しては、最初の2週間ほど喋りづらさはあると思われますが、徐々に慣れていきます。
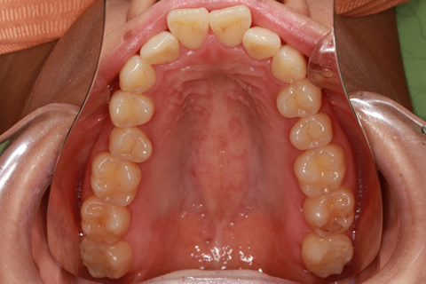
舌側矯正(裏側矯正)の症例
下記の症例写真はすべて当院で施術した治療例です。舌側矯正治療に向いている歯列かどうか専門的な立場からご回答させていただきます。
-
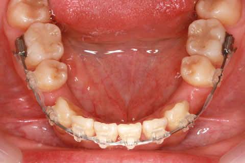
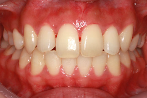
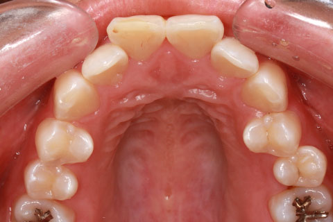
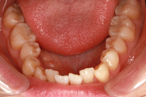
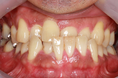
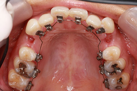
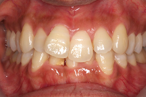
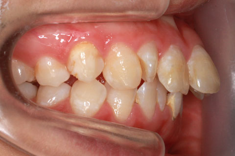
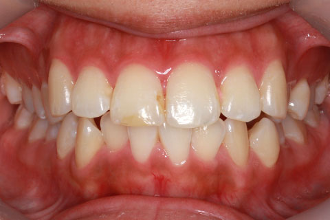
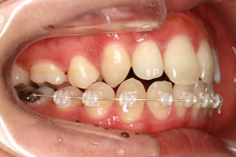
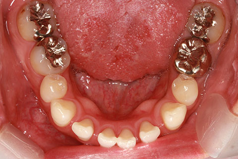
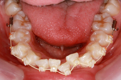
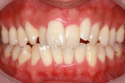
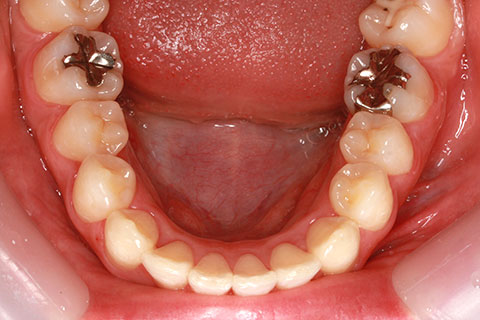
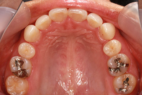
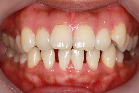
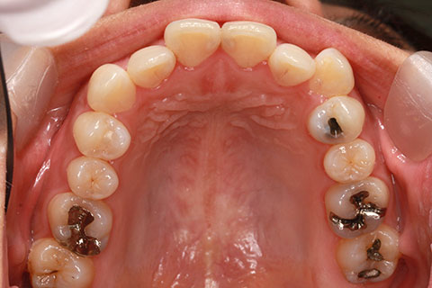
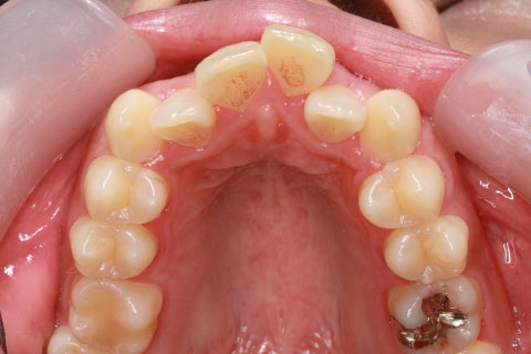
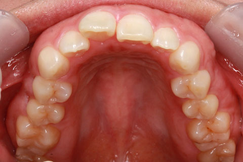
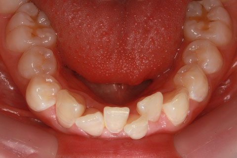
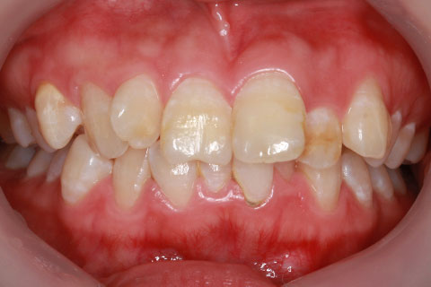
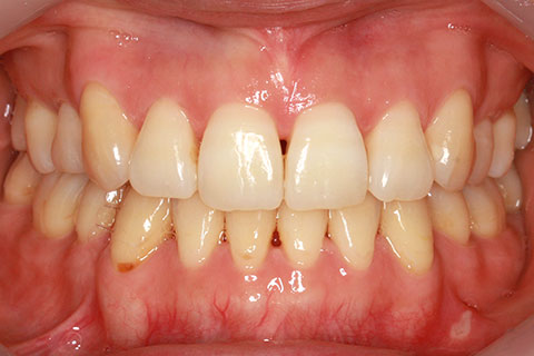
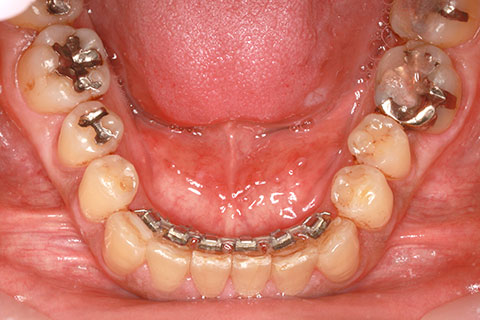
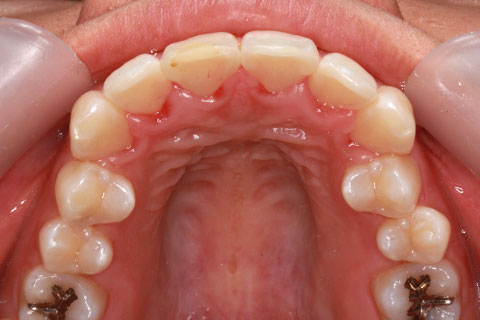
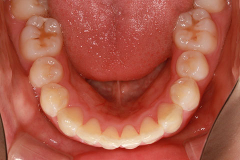
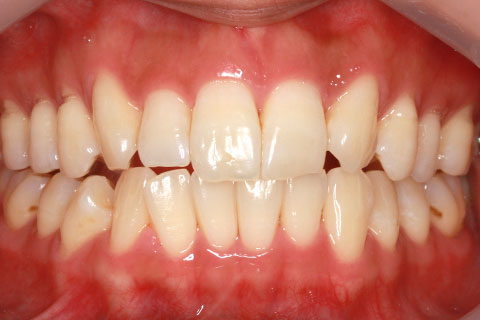
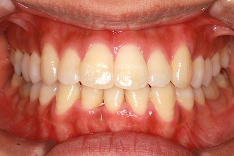
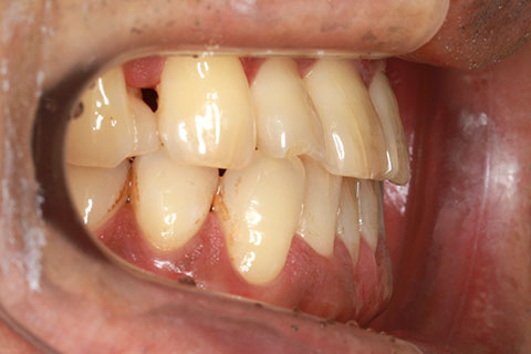
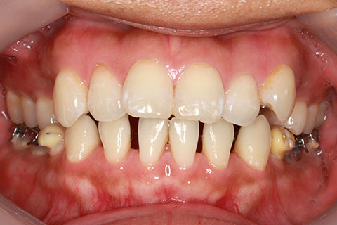
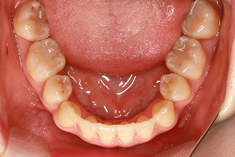
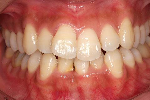
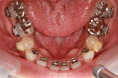
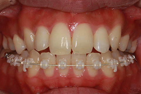
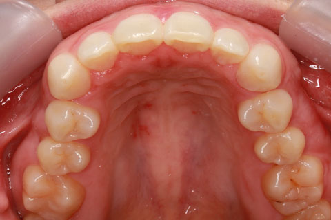
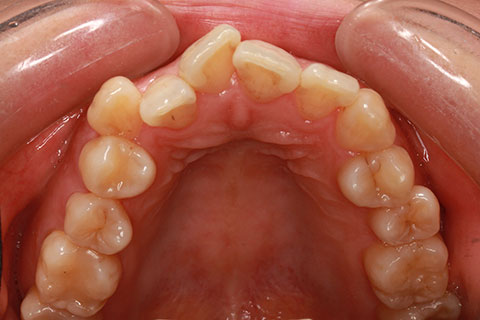
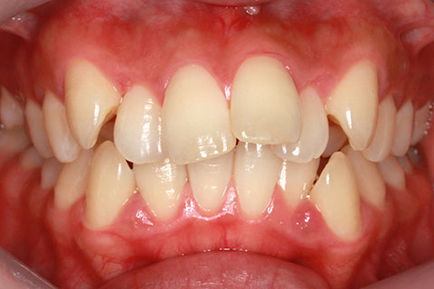
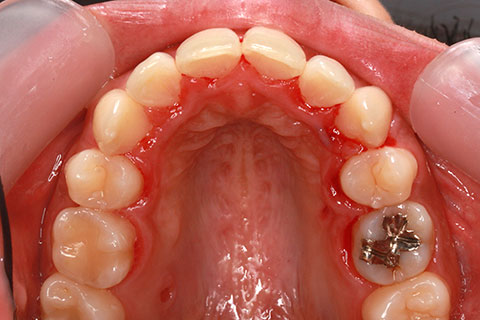
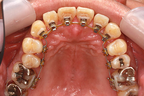
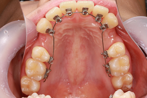
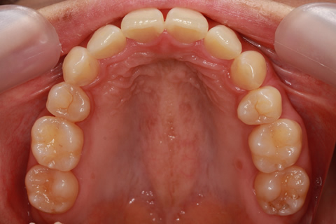
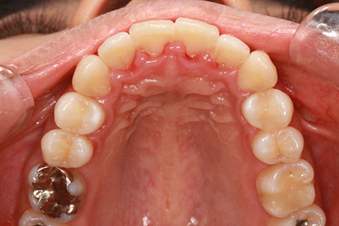
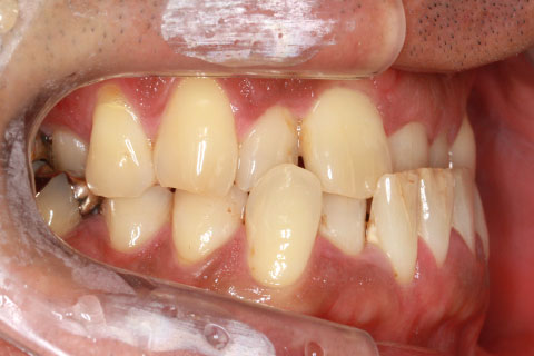
ハーフリンガル矯正1:上の歯のみ舌側矯正で治療(矯正期間20ヶ月)
- 年齢・性別
- 22歳女性
- 治療期間
- 1年8ヶ月
- 抜歯
- 上顎4番抜歯
- 治療費
- 110万円(税込み)
- 備考
- ハーフリンガル矯正
- 治療内容
- 上下前歯部凸凹の改善
- 施術の副作用(リスク)
- 裏側矯正では装置に慣れるまで発音しづらい場合がある。矯正治療に伴うリスクと治療限界についてはこちらをお読みください。
-
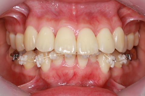
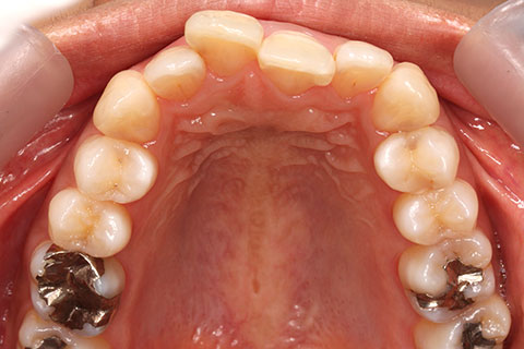
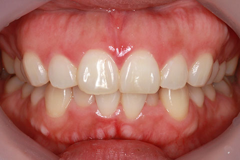
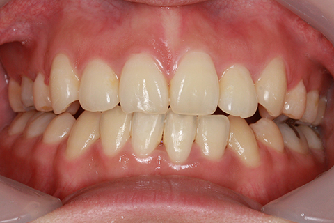
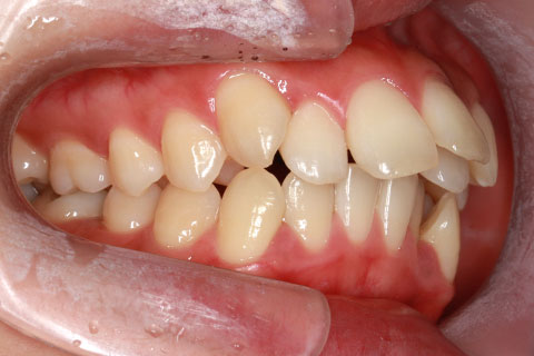
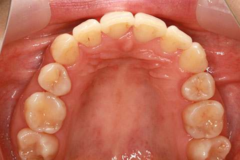
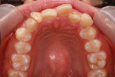
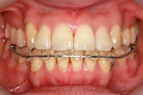
ハーフリンガル矯正2:上の歯のみ舌側矯正で治療(矯正期間18ヶ月)
- 年齢・性別
- 23歳女性
- 治療期間
- 1年6ヶ月
- 抜歯
- 上顎4番
- 治療費
- 110万円(税込み)
- 備考
- ハーフリンガル矯正
- 治療内容
- 上下前歯部凸凹の改善
- 施術の副作用(リスク)
- 裏側矯正の特性上、表側矯正と比較すると治療期間が長くかかる場合が多い。
-
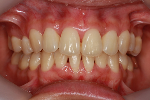
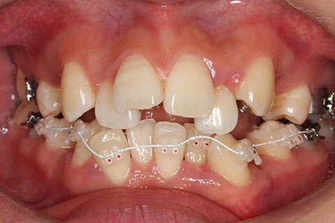
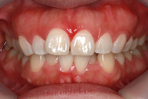
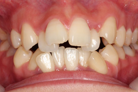
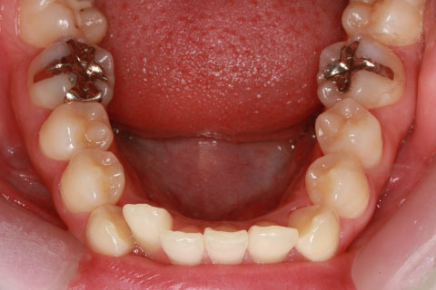
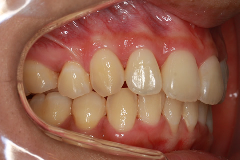
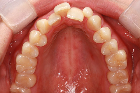
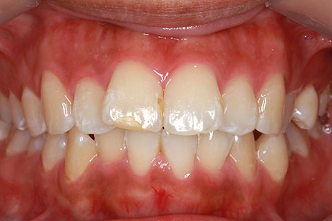
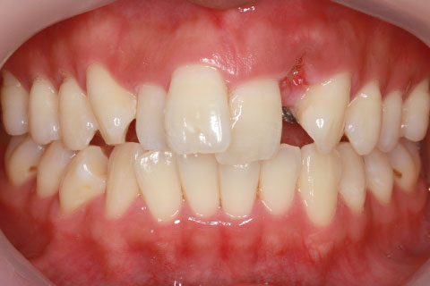
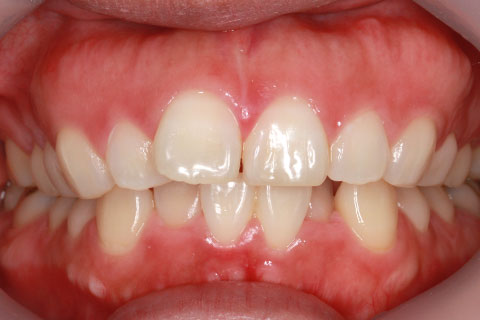
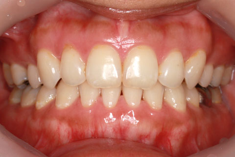
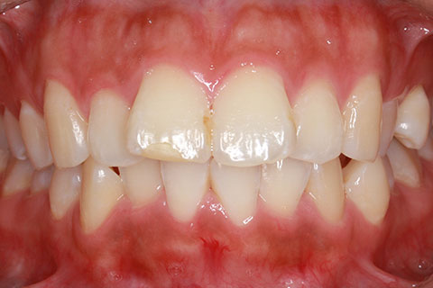
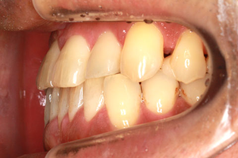
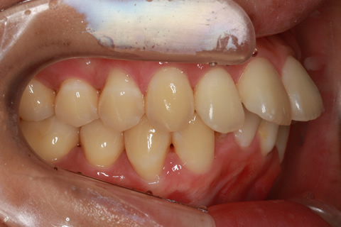
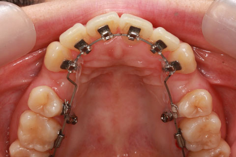
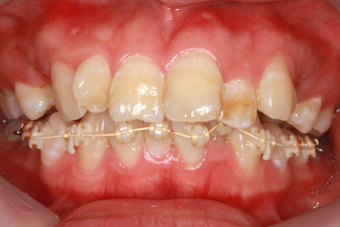
ハーフリンガル矯正3:上の歯のみ舌側矯正で治療(矯正期間24ヶ月)
治療前
治療中(開始直後)
治療中(開始半年後)
治療後
- 年齢・性別
- 25歳女性
- 治療期間
- 2年0ヶ月
- 抜歯
- 上下4番抜歯
- 治療費
- 110万円
- 備考
- 治療内容
- 施術の副作用(リスク)
- 表側矯正と比較して、力学的な操作性が複雑なため、ボーイングエフェクトを起こしやすい。
-
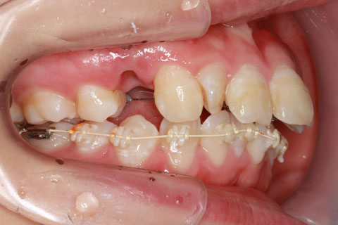
ハーフリンガル矯正4:上の歯のみ舌側矯正で治療(矯正期間24ヶ月)
- 年齢・性別
- 23歳女性
- 治療期間
- 2年0ヶ月
- 抜歯
- 上下4番抜歯
- 治療費
- 110万円
- 備考
- マルチブラケットを用いた矯正治療
- 治療内容
- 施術の副作用(リスク)
- 表側矯正と比較して、前歯のラビッティング(舌側傾斜)を起こしやすい。
-
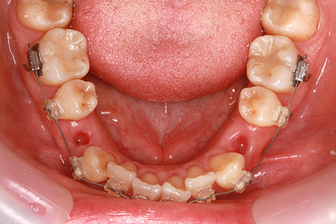
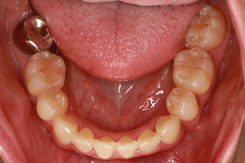
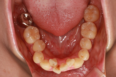
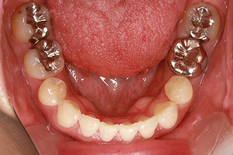
フルリンガル矯正1:上下の歯を舌側矯正で治療(矯正期間24ヶ月)
- 年齢・性別
- 33歳女性
- 治療期間
- 2年0ヶ月
- 抜歯
- 上顎4番抜歯。下顎5番欠損。
- 治療費
- 120万円(税込み)
- 備考
- フルリンガル矯正
- 治療内容
- 上顎前歯の叢生改善および下顎前歯の空隙閉鎖
- 施術の副作用(リスク)
- 装置が裏側について、目視ができないため、しっかりとブラッシングができているかどうかわかりにくい。
-
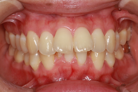
フルリンガル矯正2:上下の歯を舌側矯正で治療(矯正期間18ヶ月)
- 年齢・性別
- 42歳男性
- 治療期間
- 1年6ヶ月
- 抜歯
- なし
- 治療費
- 120万円(税込み)
- 備考
- マルチブラケットを用いた矯正治療
- 治療内容
- 反対咬合をフルリンガル矯正治療にて改善
- 施術の副作用(リスク)
- 表側矯正と比較して、歯根の角度を確立する「トルク」の力がかかりにくい。
-
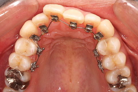
前歯のみの部分的舌側矯正1(矯正期間10ヶ月)
- 年齢・性別
- 21歳女性
- 治療期間
- 10ヶ月
- 抜歯
- 左上2番
- 治療費
- 50万円(税込み)
- 備考
- 治療内容
- 前歯一本抜歯して凸凹を改善した。
- 施術の副作用(リスク)
- 装置が裏側について、目視ができないため、しっかりとブラッシングができているかどうかわかりにくい。
-
前歯のみの部分的舌側矯正2(矯正期間12ヶ月)
- 年齢・性別
- 25歳女性
- 治療期間
- 1年0ヶ月
- 抜歯
- なし
- 治療費
- 50万円
- 備考
- マルチブラケットを用いた矯正治療
- 治療内容
- 非抜歯にて前歯のみリンガル矯正治療。
- 施術の副作用(リスク)
- 裏側矯正の特性上、表側矯正と比較すると治療期間が長くかかる場合が多い。
-
前歯のみの部分的舌側矯正3(矯正期間4ヶ月)
- 年齢・性別
- 33歳
- 治療期間
- 4ヶ月
- 抜歯
- なし
- 治療費
- 50万円
- 備考
- マルチブラケットを用いた矯正治療
- 治療内容
- 非抜歯にてIPRを併用したリンガル矯正治療。
- 施術の副作用(リスク)
- 裏側矯正では装置に慣れるまで発音しづらい場合がある。
-
前歯のみの部分的舌側矯正4(矯正期間6ヶ月)
- 年齢・性別
- 28歳女性
- 治療期間
- 6ヶ月
- 抜歯
- なし
- 治療費
- 50万円
- 備考
- マルチブラケットを用いた矯正治療
- 治療内容
- 非抜歯にてIPRを併用したリンガル矯正治療。
- 施術の副作用(リスク)
- 表側矯正と比較して、前歯のラビッティング(舌側傾斜)を起こしやすい。
-
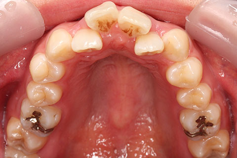
症例
- 年齢・性別
- 30歳女性
- 治療期間
- 3年0ヶ月
- 抜歯
- 上下左右4番抜歯
- 治療費
- 110万円
- 備考
- マルチブラケットを用いた矯正治療
- 治療内容
- 上下顎前突を4本抜歯にて矯正治療
- 施術の副作用(リスク)
- 表側矯正と比較して、歯根の角度を確立する「トルク」の力がかかりにくい。
安心・納得の矯正治療