ふかつ歯科・矯正歯科 ご予約・ご相談・お問い合わせはお電話084-982-5111 ふかつ歯科・矯正歯科のインスタグラム

MENU

矯正治療について 部分矯正

HOME 矯正治療について 部分矯正

部分矯正

部分矯正が行える条件

当院では、前歯だけ気になる所を矯正したいという患者様には、部分矯正をすすめております。

  • デコボコの程度が軽度~中度であること
  • 奥歯の咬み合わせが良好であること
  • 上下の歯が垂直的、水平的にズレがないこと
  • 上下のアゴの骨格的バランスが悪くないこと

部分矯正の利点

全てのかみ合わせを治す通常の矯正治療と比較して、以下の点が挙げられます。

  • 矯正器具を全ての歯に付ける必要がないため煩わしさがなく、口腔内を清潔に保ちやすい
  • 短い治療期間で終了することができる
  • 金額的に安価である

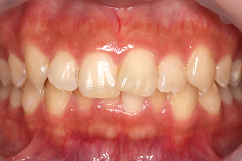
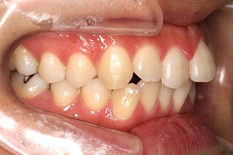
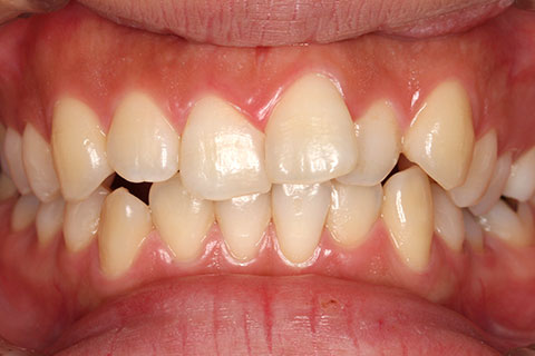
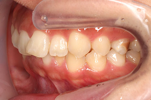
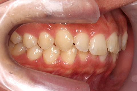
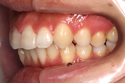
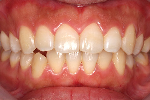
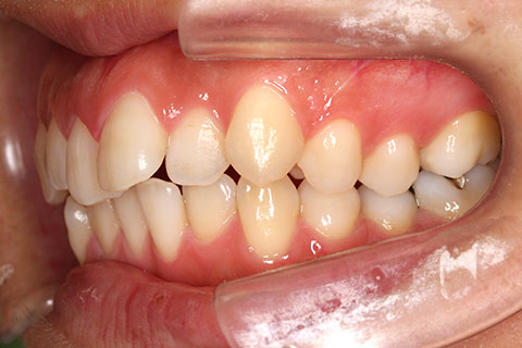
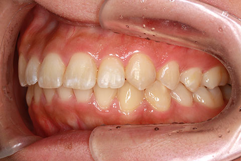
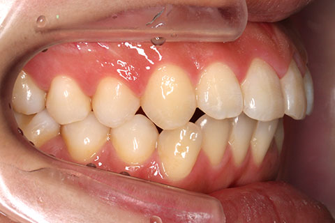
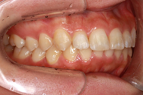
部分矯正の症例

安心・納得の矯正治療